![]() |
| Imagem retirada da Net |
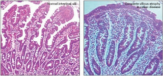
A Sociedade Europeia de Gastroenterologia Pediátrica, Hepatologia e Nutrição (ESPGHAN) estabeleceu em 1990 os actuais critérios para fazer o diagnóstico da doença celíaca (DC) em crianças. Desde então, e independentemente do quadro clínico, o diagnóstico definitivo de DC só deve ser estabelecido em crianças sintomáticas com mais de 2 anos, com alterações na mucosa do intestino delgado e desaparecimento gradual ou total dos sintomas após o início da dieta sem glúten. As análises para a DC, positivas antes da dieta e negativas após, passaram a ser consideradas um apoio adicional ao diagnóstico. A reintrodução do glúten na dieta para confirmação da DC (obrigatória antes de 1990), passou a estar limitada às seguintes situações:
- Crianças menores de 2 anos aquando da primeira biópsia;
- Dieta sem glúten anterior à biópsia;
- Uma biópsia com resultados inconclusivos.
Ultimamente, e considerando os avanços que se deram no campo do conhecimento sobre a DC e o seu diagnóstico, são muitos os que pedem a revisão destes critérios. A ESPGHAN criou assim um comité para a revisão deste tema; a pressão da comunidade médica vai no sentido de, dada a alta precisão dos testes de anticorpos específicos para a DC, estes poderem substituir a biópsia nalguns casos. A questão da reintrodução do glúten para confirmação do diagnóstico é, também, posta em causa pois existe uma alta taxa de recidiva em crianças que, antes do início da dieta, eram menores de 2 anos e tinham atrofia das vilosidades e anti-corpo anti-endomísio positivo .
Em paralelo com o comité acima mencionado, e em apoio deste, um grupo de vários hospitais europeus realizou um inquérito junto de vários departamentos de gastrenterologia pediátrica de modo a avaliar as práticas diagnósticas aí realizadas. O Journal of Pediatric Gastroenterology and Nutrition publicou os resultados desse inquérito na sua edição deste mês. Deixo aqui o resumo do mesmo.
“Abstracto
JUSTIFICATIVA E OBJECTIVOS: A revisão dos critérios para o diagnóstico de doença celíaca (CD) está a ser realizada pela Sociedade Europeia de Gastroenterologia Pediátrica, Hepatologia e Nutrição (ESPGHAN). Em paralelo, realizamos um levantamento que teve como objectivo avaliar as práticas actuais de DC entre os gastrenterologistas pediátricos e para saber quais as suas opiniões sobre a necessidade de modificação dos critérios actuais para o diagnóstico de DC.
Pacientes e Métodos: Questionários foram distribuídos a experientes gastrenterologistas pediátricos (membros da ESPGHAN) através da Internet.
Resultados: No total, estavam disponíveis para análise 95 questionários válidos, referentes a 28 países diferentes, com a maioria dos que responderam a tratar pacientes com DC há mais de 15 anos. Apenas cerca de 12% dos respondentes cumprem com os critérios actuais, sendo a falta de cumprimento relacionada principalmente à política de reintrodução do glúten. Cerca de 90% solicitam uma revisão e alteração dos critérios actuais. 44% querem omitir a biópsia do intestino delgado em crianças sintomáticas com imunoglobulina anti transglutaminase (Ig)A ou anticorpos antiendomísio IgA positivos, especialmente se forem positivas no DQ2/DQ8. Para os casos assintomáticos detectados por triagem com anti-transglutaminase tecidual IgA ou IgA EMA convincentemente positivos, cerca de 30% consideram que a biópsia do intestino delgado só deve ser exigida em casos específicos. A adição da determinação do antígeno leucocitário humano como ferramenta de diagnóstico foi solicitada por 42% dos respondentes. Como para a reintrodução do glúten, defende-se que uma nova política deve restringir a sua obrigatoriedade aos casos em que o diagnóstico é duvidoso ou incerto.
Conclusões: Com base nestes pareceres, a revisão de critérios pela ESPGHAN para o diagnóstico de DC é urgentemente necessária.”
Outros artigos:
Clinical, Serologic, and Histologic Features of Gluten Sensitivity in Children
Celiac Diagnosis Without Biopsy May Be Valid in Asymptomatic Children
Anti-transglutaminase 6 Antibody Development in Children With Celiac Disease Correlates With Length of Gluten Exposure
Outros artigos:
Clinical, Serologic, and Histologic Features of Gluten Sensitivity in Children
Celiac Diagnosis Without Biopsy May Be Valid in Asymptomatic Children
Anti-transglutaminase 6 Antibody Development in Children With Celiac Disease Correlates With Length of Gluten Exposure

1 comentário:
Já não era sem tempo...
Enviar um comentário